OMFT
Wat is OMFT?
Oromyofunctionele therapie (OMFT) is een oefentherapie waarbij de spieren rondom het gebit weer in balans worden gebracht.
In de praktijk zal OMFT bestaan uit:
- het afleren van nog bestaande zuiggewoonten, zoals duim- en speenzuigen, of bijtgewoonten, zoals nagelbijten
- het aanleren van lipsluiting
- het aanleren van een neusademhaling
- het aanleren van een correcte tongpositie in rust, d.w.z. licht aangezogen tegen het gehemelte
- het aanleren van een goede slik, waarbij de tong niet meer tegen de tanden wordt gedrukt, maar aangezogen blijft tegen het gehemelte
- het verbeteren van de uitspraak van /l/, /n/, /t/, /d/ en /s/, zodat er bij het uitspreken van deze klanken niet meer tussen of tegen de tanden wordt gedrukt
- het automatiseren van de nieuwe mondgewoonten
- bij deze therapie wordt vrijwel altijd gebruik gemaakt van een Myobrace.
Wanneer OMFT?
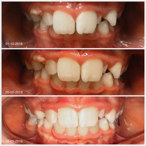
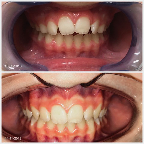
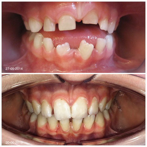
Zo’n 80% van alle kinderen heeft een afwijkend gebit door afwijkende mondgewoonten. Denk hierbij aan duimen, speenzuigen, open mondgedrag en een afwijkende tongpositie in rust en tijdens het slikken.
Afwijkende mondgewoonten zijn niet alleen schadelijk voor de ontwikkeling van het gebit, maar kunnen ook andere gezondheidsproblemen veroorzaken. U vindt hierover meer informatie op deze website.
Als logopedist, gespecialiseerd in OMFT, kijk ik naar de relatie tussen de afwijkende mondgewoonten en de gebitsafwijking. Door het werken aan de afwijkende mondgewoonten functioneren de spieren in en om de mond weer in evenwicht. Vaak zorgt dit ook voor een verbetering van het gebit.
U kunt bij Tussen Neus en Lippen terecht als er sprake is van:
- scheve tanden veroorzaakt door afwijkende mondgewoonten
- mondademen/open mondgedrag
- duimen, speenzuigen, vingerzuigen of een andere zuiggewoonte
- nagelbijten
- slikken met de tong tegen of tussen de tanden
- een lage tongligging in rust
- snurken
- een relaps na orthodontische behandeling door afwijkende mondgewoonten
- slissen
- kaakgewrichtsproblemen
In uitzonderlijke gevallen kan het voorkomen dat de afwijking van het gebit zo groot is dat er eerst gestart moet worden met orthodontie. Ook kan het zijn dat een tongriem te kort is, waardoor een tong onvoldoende kan heffen. Behandeling van de tongriem is dan nodig, voordat een OMFT behandeling kan plaatsvinden. Een intake bij Tussen Neus en Lippen kan hier meer duidelijkheid over geven.
